Receive Quality Care
Overlooking the Lake
Experience Serenity
in Loveland, CO
Exceptional Dentistry Made Affordable
Our office does everything it can to make dental care affordable for Loveland, CO. In addition to being in-network with most insurances, we accept financing plans through LendingClub® and offer a 5% discount when patients pay in full on the day of their treatment with cash or check.
Where Every Patient Is Seen as an Individual

Our Mission
Our skilled team is dedicated to providing a dental experience that is comfortable, personalized, and exceptional in quality. We incorporate state-of-the-art technology whenever possible.

In Dr. Maples' Own Words
"Our team genuinely cares about patients and we are dedicated to making sure they have a good experience. There is a high level of service from every member of the team and a universal goal to maintain and improve the health and beauty of your smile. We won’t treat you as just another mouth. We will treat you as a person."
Ready for Quality Dental Care? Request Your Appointment Today
West Lake Dental is the best dentist near me. They are a great local dentist that is always there for any dental issues. They are honest and they schedule in a timely manner. The staff is on time and they treat the family dental needs as they would their own! They are friendly and they have a solution for everything.
I would recommend them for the whole family!
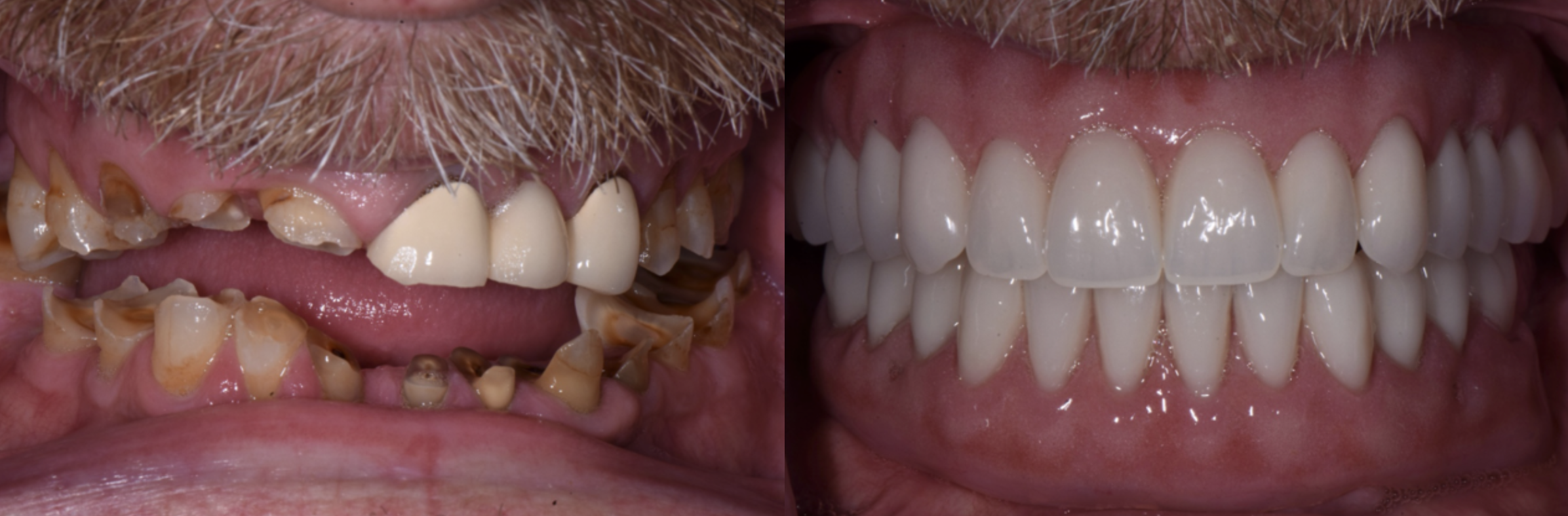
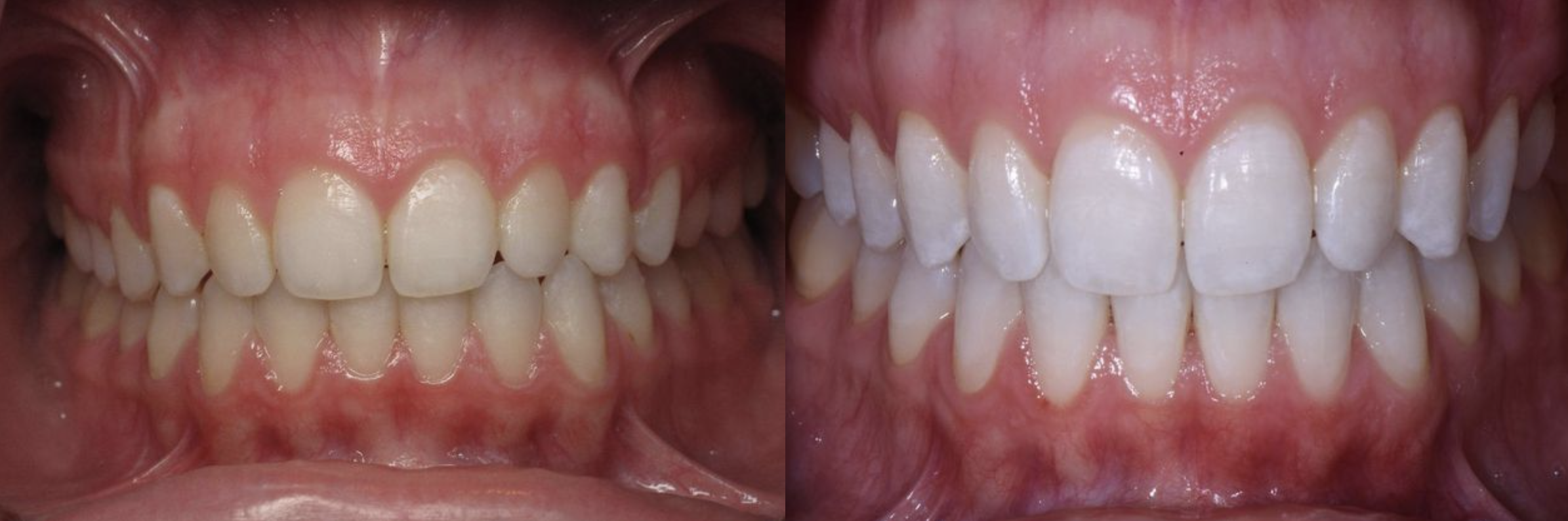
Whether you need routine care or serious restorative treatment, our dentist has you covered. Like our dentist, each member of our team is dedicated to maintaining, restoring, and improving the health and appearance of your mouth. Through general, restorative, and cosmetic dentistry services, Andy Maples, DDS, is confident he can help you achieve your goals for a healthy, beautiful smile.
Ready to transform the state of your oral health with comfortable and comprehensive care that's close to your home? Request a consultation with our dentist by calling our Loveland office at:
(970) 669-1444
Meet Andy Maples, DDS
Your Loveland Dentist

Dr. Maples' Affiliations

Our Complete List of Dental Services
- All-on-4® Dental Implants
- Ceramic Restorations
- Cleanings and Exams
- Cosmetic Dentistry
- Dental Bonding
- Dental Bridges
- Dental Crowns
- Same-Day Crowns
- Dental Implants
- Dentures
- Full Mouth Reconstruction
- General Dentistry
- Gum Contouring
- Inlays and Onlays
- Invisalign
- Night Guards
- Oral Cancer Screenings
- Periodontal Care
- Porcelain Veneers
- Preventive Dentistry
- Restorative Dentistry
- Root Canal Therapy
- Scaling and Root Planing
- Sedation
- Smile Makeover
- Teeth Whitening
- Temporomandibular Joint (TMJ) Treatment
- Tooth-Colored Fillings
- Tooth Extractions
- Wisdom Tooth Removal
Nervous About an Upcoming Procedure? We Offer Sedation

Oral Conscious Sedation
Oral conscious sedation involves the patient taking medication before their procedure. This medication relaxes the patient as they undergo treatment. The medication takes a few hours to wear off, so you'll need someone to drive you to and from your appointment.

Nitrous Oxide Sedation
Nitrous oxide is a gas that is administered through a nose mask to keep a patient relaxed throughout treatment. Once the mask is removed, it doesn't take long for the effects to wear off, meaning you can drive yourself home after your procedure.
"What a wonderful dental practice!"
Great experience at this office. They make you feel like a person and not just a number. They squeezed me in for a same day appointment and we’re very clear in their explanation of what my options were and what they would do in my place. Everyone was great. Dr Andy was thorough and very personable. This was my first visit and I will be returning.
View on GoogleWhat a wonderful dental practice! Dr. Andy and his staff are professional, considerate, and deliver top notch care with compassion. They thoroughly explain any treatments that are needed and answered all my questions and concerns. One of the very best dental offices I’ve been in!
View on GooglePaying for Your Treatment
In addition to a 5% discount for patients who pay in full on the day of their treatment, our office accepts:
Insurance Plans
We are in-network for most insurances so you can reduce or eliminate the cost of general and restorative dental work.
Financing Options
If we are out-of-network or your insurance doesn't cover your treatment, you can make paying for your care more manageable with LendingClub financing.
"West Lake is the best dental office I’ve been to by far! I’ve been going here for a few years now and every visit has been pleasant. The whole team is very friendly, professional, and helpful, and they make everything very easy. I also love the views of the lake from the exam rooms." Emily Carbone


















