Welcome to West Lake Dental Your General Dentist in Loveland, CO
At West Lake Dental in Loveland, CO, we believe everyone deserves a healthy, beautiful smile. Our friendly, knowledgeable team is here to help you with any of your dental needs, whether that is a routine cleaning and exam, cosmetic smile design, or full mouth reconstruction. Our team is led by Dr. Andy Maples, a dentist who has been serving the Loveland community for almost a decade.
Our team genuinely cares about our patients. There is a high level of service from every member of the team and a universal goal to maintain and improve the health and beauty of your smile. We won’t treat you as just another mouth. We will treat you as a person. Because of our outstanding service, we have received many heartfelt testimonials and hundreds of five-star reviews from our community.
Our Mission
Our skilled team is dedicated to providing a dental experience that is comfortable, personalized, and exceptional in quality. We incorporate state-of-the-art technology whenever possible.
Why Patients Choose Our Practice
In addition to Dr. Maples' extensive training and our team's commitment to providing high-quality care, patients choose our Loveland, CO, office for our advanced technology, comfortable sedation options, and luxurious amenities.

State-of-the-Art Technology
We work hard to keep our Loveland practice up to date by investing in advanced technologies, including:
• Cone beam CT scanner
• Soft tissue diode lasers
• All-digital X-rays
• NOMAD™ handheld X-ray
• System B™ Endodontic Heat Source
• DIAGNOdent™ cavity detector
• Intraoral cameras
• Single-visit crown milling equipment
We also have TVs in every room that we use to display photos, X-rays, and other images. During your appointment, we can take photos with the intraoral camera and display them on the TV.

Comfortable Care with Sedation
We understand that many individuals get nervous about visiting the dentist. That is why we offer oral conscious sedation to make patients more comfortable. Patients take an oral medication about 30 minutes prior to their appointment. The medication has a calming effect so you feel less anxiety throughout treatment.
This is a great option for those who suffer from dental anxiety, need to undergo multiple procedures, or have trouble sitting still. However, people shouldn't drive under the effects of oral sedation and will need someone to drive them to and from their dentistry appointment.

Spa-Like Amenities
Overlooking Lake Loveland, our office is designed to provide the highest quality services in a relaxed setting. We offer complimentary coffee, tea, and bottled water in the reception area. All of our treatment rooms have views of the lake for a peaceful dental experience. In addition, there are TVs in every room so you can watch TV during appointments.
We're Involved in the Community
The idea that each of us has the power to change the world through our actions, thoughts, words, and intentions has become a guiding principle for our practice. We want to be a force for good in this world. Providing high-quality, science-informed, compassionate dental care is just one way we do this.
To bring this belief to our community, we accept patients from Dental Lifeline, a program that organizes care for patients who can’t afford treatment. This program allows us to donate lab work and perform treatment at no cost to certain patients. We also donate to local sports every year, including Loveland High School football and volleyball.
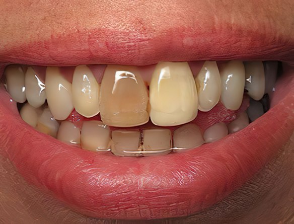
Ready for Results Like This? Contact Our Dentistry Practice Today
Request an appointment with our form or call our Loveland, CO, office at (970) 669-1444.
We Provide Stellar Care to Loveland, CO "I have found my place."
Excellent experience. Every member of the team is wonderful. Dr. Andy Maples has a fantastic bedside manner. He is kind, caring and extremely knowledgeable. I have found my place.
View on GoogleDr. Andy Maples... does excellent dental work, is committed to staying updated in his field, is kind and non-judgemental, has a sense of humor, and clearly cares about his patients. He also is communicative regarding insurance so his patients can make informed decisions regarding their care.
View on GoogleMeet Andy Maples, DDS
Andy Maples, DDS, is a lifelong learner who constantly strives to provide the most advanced treatments to his patients. Last year alone, he completed over 150 hours of continuing education; the state of Colorado only requires 15 per year. From simple fillings to dental implants, Dr. Maples can perform almost any dental procedure you require at our Loveland dental office.
After dental school, Dr. Maples completed over 200 hours of dental implant training with world-renowned implant surgeon Dr. Carl E. Misch. He then went on to advance his education in all aspects of dentistry by graduating from the Kois Center, where he trained with renowned prosthodontist John C. Kois. Based on his level of experience, amount of continuing education hours, warm bedside manner, innovative technique, advanced use of technology, and impressive patient results, Dr. Maples was also voted a 5280 Top Dentist seven years in a row.
In June of 2018, he received his fellowship with the Academy of General Dentistry. To earn his FAGD status, Dr. Maples had to complete 500 continuing dental education hours and pass a comprehensive exam.

Professional Affiliations
Comprehensive Dental Services for Your Entire Family
- Full Mouth Reconstruction
- General Dentistry
- Gum Contouring
- Inlays and Onlays
- Invisalign
- Night Guards
- Oral Cancer Screenings
- Periodontal Care
- Porcelain Veneers
- Preventive Dentistry
- Restorative Dentistry
- Root Canal Therapy
- Scaling and Root Planing
- Sedation
- Smile Makeover
- Teeth Whitening
- Temporomandibular Joint (TMJ) Treatment
- Tooth-Colored Fillings
- Tooth Extractions
- Wisdom Tooth Removal
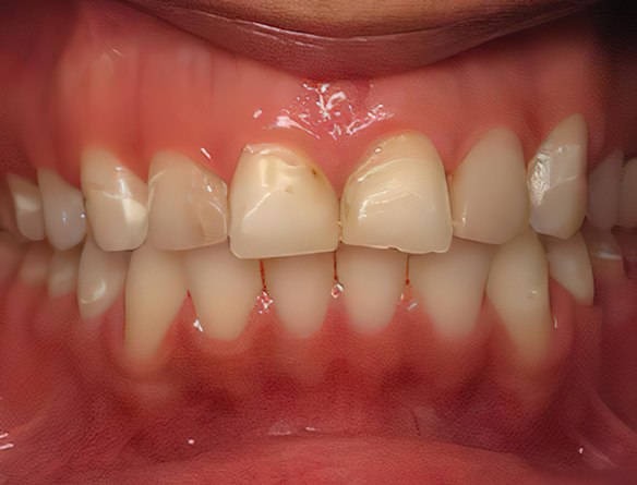
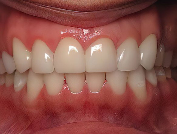
Beautiful and Natural-Looking Results Our Team Can Fine-Tune Your Smile
Dr. Maples placed all-ceramic crowns to improve the health and appearance of this patient's smile. He can develop a treatment plan specific to your needs to completely transform your teeth and gums.
Patients Love Our Dentist and His Staff
"Dr. Andy and his staff are nothing short of phenomenal! ...I have been a loyal patient for over five years. The entire staff has become an extension of our family... You cannot beat the quality of care in this office. Hands down, the best dentist and staff you will ever find." Tifini A.























