Dr. Andy Maples of West Lake Dental

West Lake Dental

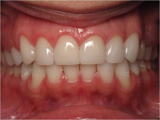
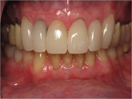
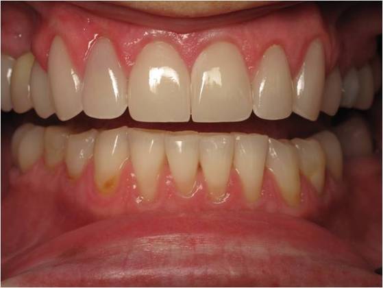
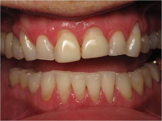
At West Lake Dental in Loveland, CO, Andy Maples, DDS, and his team provide excellent dental care to patients of all ages. Whether your dental needs are routine or advanced, we can serve you at our comfortable, inviting office. Dr. Maples is affiliated with several prestigious organizations, including:

  • The American Dental Association
  • The Colorado Dental Association
  • The International Congress of Oral Implantology
  • The Misch International Implant Institute

We invite you to schedule an appointment today by calling (970) 669-1444.

Contact Us Today

Contact Us

Fields With Are Required
You can also call us at (970) 669-1444. This site is protected by reCAPTCHA and the Google Privacy Policy and Terms of Service apply.

Rate, Review & Explore

Social Accounts Sprite