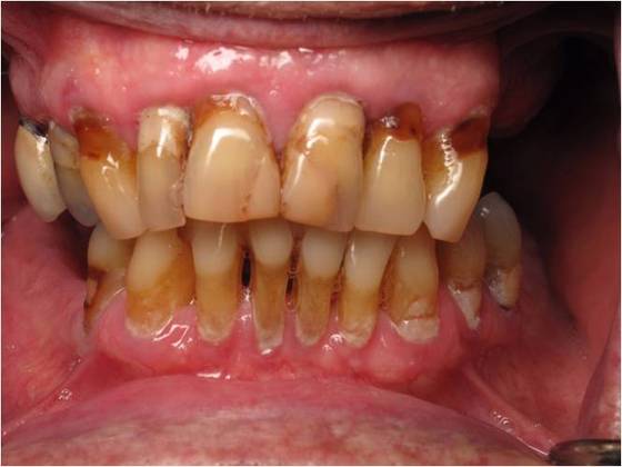
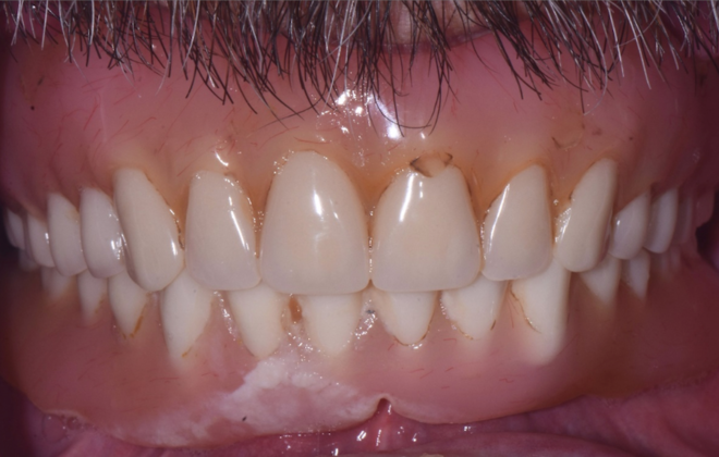
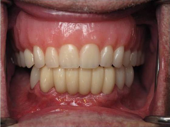
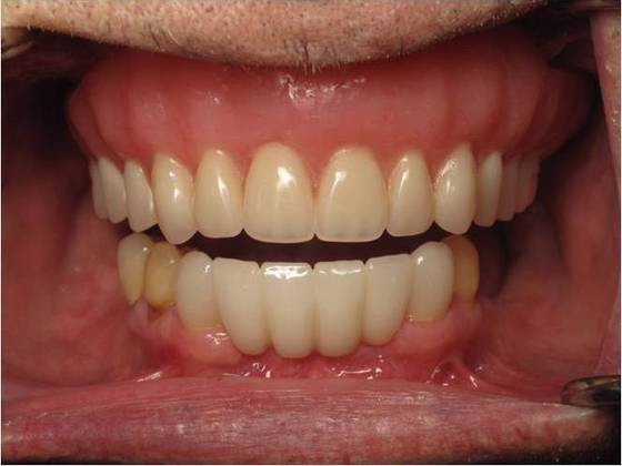
At West Lake Dental in Loveland, CO, Andy Maples, DDS, and his team provide excellent dental care to patients of all ages. Whether your dental needs are routine or advanced, we can serve you at our comfortable, inviting office. Dr. Maples is affiliated with several prestigious organizations, including:
We invite you to schedule an appointment today by calling (970) 669-1444.
