
Smile Makeover
High-Quality, High-Tech Care Get Started on Your New Smile Today
While Colorado only requires dentists to complete 15 hours of continuing education each year, our dentist, Andy Maples, regularly completes over 100 hours in order to continuously develop his skills. He combines his advanced technique, his passion for dentistry, and state-of-the-art technology to give his patients the very best care. Some of our favorite dental tools and technologies include:
- A 3D cone beam CT scanner
- Soft-tissue diode lasers
- All-digital x-rays
- A NOMAD™ handheld x-ray
- A System B™ Endodontic Heat Source
- A DIAGNOdent™ laser cavity detector
- Intraoral cameras
Our cutting-edge dentistry can set you on the path towards a beautiful new smile. Start your journey today by requesting a consultation at our Loveland, CO, office. Contact us online or call:
(970) 669-1444

"Dr. Maples and his staff have been amazing." Great Reviews From Happy Patients
Dr. Maples and his staff have been amazing. The atmosphere is comfortable and they take great care to make sure you understand your options and know what's going on throughout your dental procedure. Dr. Maples had a gentle hand and I appreciated how discomfort free my entire procedure was. Will definitely be getting all my dental work done at Westlake Dental! Highly recommend
View on GoogleI have never had a bad experience at West Lake Dental. Visiting the dentist is no ones favorite thing to do, but Dr. Andy is awesome. He always makes sure I am comfortable with what was done during my visit and follows up later to make sure I am doing okay and don't have any questions after the fact. I will never hesitate to refer people to West Lake Dental and Dr. Andy.
View on GoogleOur Featured Smile Makeover Treatments
Porcelain Veneers
Porcelain veneers are thin ceramic shells that fit over the surfaces of your teeth. They can conceal imperfections such as cracks, chips, and stains. Often referred to as "instant orthodontics," veneers can also be used to conceal gaps and minor misalignment for a straighter, more symmetrical smile.
Dental Bonding
Much like veneers, dental bonding can conceal a range of cosmetic imperfections, including dental damage and discoloration. During the procedure, your dentist will apply tooth-colored resin to the treatment area and harden it with a UV light. The results will look completely indistinguishable from the rest of your smile.
Invisalign®
This popular alternative to traditional braces uses clear plastic aligner trays to correct mild to moderate misalignment and bite issues. Invisalign allows you to straighten your smile with discretion, something bulky metal braces cannot provide. However, Invisalign is not for everyone. If you have more complex misalignment issues, Dr. Maples may recommend treatment with traditional orthodontics instead.
Teeth Whitening
We can use a safe yet powerful bleaching solution to remove stains and discoloration from your enamel. Your cosmetic dentist will hold a UV light to your smile to enhance the effects of your treatment. Professional whitening can brighten your teeth by several shades in an hour or less, offering much quicker results than over-the-counter whitening products.
All-Ceramic Restorations
We offer a variety of all-ceramic restorations, including crowns, bridges, and fillings, to repair teeth damaged by decay or trauma. Your restorations can be color-matched to the rest of your teeth for a seamless look. Bridges and crowns can also be supported by dental implants to replace missing teeth.
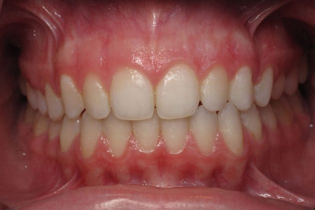
Stunning Results
This patient received a professional teeth whitening treatment at our Loveland, CO, dentistry office and left with a significantly brighter smile.
How Much Does
a Smile Makeover Cost?
/
Because smile makeovers are 100% customized for every patient, prices can vary widely. We'll be able to pinpoint a more accurate price for your treatment during your initial consultation with Dr. Maples. He can assess your smile and discuss your cosmetic goals to build the treatment plan that works best for you.
Affordable Financing Available
Cosmetic dentistry isn't covered by dental insurance unless there is a medically necessary reason for treatment, such as a crown to protect a damaged tooth. We do accept most insurance plans, and we'll work with your provider to help you secure the best coverage possible.
We have several options that can help make your cosmetic treatment more affordable. Our Loveland office offers financing through LendingClub®, which allows you to break up your costs into affordable monthly payments. We also offer a 5% discount if you pay for your smile makeover in full via cash or check before your treatment begins.
Dental Anxiety Is No Problem at Our Practice
Is dental anxiety keeping you from transforming your smile? We're here to help. West Lake Dental offers oral conscious and nitrous oxide sedation, both of which can keep you calm, comfortable, and relaxed for the duration of your treatment.
Our Expertise Goes Beyond Cosmetic Dentistry
Dr. Maples is a skilled cosmetic dentist, but he also provides a full range of high-quality restorative and general dentistry treatments.
If you have missing teeth, significant dental damage, or untreated tooth decay, we can treat you with dental implants or even full mouth reconstruction to restore the health, function, and appearance of your smile.
If you need treatment for gum disease, a root canal infection, or just a routine cleaning and exam, our dentist can attend to your needs with skill and a gentle touch.
West Lake Dental is a one-stop-shop for comprehensive dental care. Message us to learn more about the types of dentistry we perform.
More 5-Star Reviews For Our Loveland, CO, Dental Practice
Very professional and has a great personal touch too. Everyone is very friendly, my needs were met as I anticipated they would be.
View on GoogleDr. Andy and his team are the best! I couldn’t recommend them enough!
View on Google







