Cosmetic Dentistry Loveland
A Nationally Recognized Smile Perfectionist
Earned Fellowship from the Academy of General Dentistry
Named a 5280 Top Dentist every year since 2017
Extensive training for precise, natural-looking enhancements
See How Dr. Maples Can Elevate Your Smile
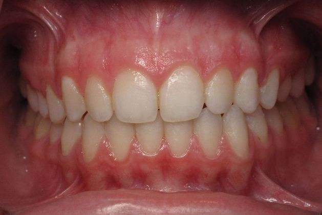
Our cosmetic dentist achieved this smile upgrade by placing cosmetic crowns at our Loveland office.
The Tools and Technology That Set Us Apart
To expedite treatment and provide highly accurate care, we modernize our processes wherever possible.
- Digital Scans and Impressions: We can use digital technology to capture detailed images of your teeth and oral structures in a matter of moments, which helps us identify oral health issues quickly and plan more accurate treatments. We also use digital scans to take impressions without the need for traditional dental putty.
- Soft-Tissue Diode Lasers: Whether you want to improve your oral health with periodontal treatment or achieve a more proportionate gumline through gum contouring, our soft-tissue lasers let us perform treatments without scalpels and sutures. You can enjoy precision, increased comfort, and quicker recovery times with laser dentistry.
- Full-Contour Wax-Ups: We know how difficult it can be to wait to see the final results of your cosmetic treatment once the planning process has begun. Our detailed, lab-made wax-up models can help you visualize what your new smile will look like. After reviewing your model with you, Dr. Maples can adjust your treatment plan to fine-tune your results to better meet your smile goals.
- Sedation Options: Most cosmetic dentistry treatments are virtually painless and can be comfortably performed with just local anesthesia. However, we understand that many patients have dental sensitivity or a fear of visiting the dentist in the first place. We offer nitrous oxide and oral conscious sedation, both of which can keep you deeply relaxed throughout your treatment.

Meet Dr. Maples A Dentist Who Never Stops Learning
Dr. Andy Maples combines advanced training with a passion for cosmetic and implant dentistry. His credentials reflect a deep commitment to excellence:
- DDS from Creighton University, where he earned top honors for aesthetic and restorative dentistry
- Fellowship with the Academy of General Dentistry, a distinction fewer than 6% of dentists nationwide achieve
- Mentor at the Kois Center, where he helps guide other dentists in advanced clinical techniques
- Over 150 hours of continuing education annually, 10 times more than Colorado’s requirement of 30 hours every two years
Patients choose Dr. Maples not only for his advanced training, but for the care and integrity he brings to every treatment plan.
"Dr. Maples was efficient, professional, and kept me well informed at all times. I have been a patient of Dr Maples for several years now and will definitely return." - Les, 5-Star Review


Experience a Unique Level of Care In a Unique Setting
At West Lake Dental, we strive to provide an unparalleled level of comfort and relaxation during your visit.
Our modern building in Loveland was designed by a student of famed architect Frank Lloyd Wright, and our interior is decorated to feel more like a boutique spa than a dental office. We invite you to enjoy complimentary coffee, tea, and bottled water in our bright and spacious waiting room while Dr. Maples prepares for your visit.
During your appointment, you'll be able to look out onto a tranquil view of Lake Loveland from your seat. If you're looking for more exciting entertainment, feel free to watch a show on TV to help pass the time.
We look forward to treating you to a truly special dental experience from start to finish. If you're ready to get started with life-changing cosmetic treatment at a one-of-a-kind practice, send us a message online or call us:
Our cosmetic dentist achieved this amazing smile makeover with our in-office teeth whitening treatment at our Loveland office.
Concerned About Costs? Financing and Cash Discounts Are Available
Cosmetic procedures like veneers and teeth whitening are not covered by dental insurance. We offer a 5% discount if you pay in full via cash or check on the day of your procedure. We also accept financing through LendingClub. This lender offers loans with little or no interest and flexible monthly payment plans that can keep your treatment within your budget.
Loveland Patients Trust Dr. Maples Request a Consultation With Our Skilled Dentist
While Colorado requires dentists to complete 15 hours of continuing education each year, cosmetic dentist Andy Maples frequently completes over 150 hours annually. In addition, he received a fellowship from the Academy of General Dentistry in 2018. To achieve this, he had to complete 500 continuing education credit hours and receive recognition from other dentists as a leader in the field. That same year, he and the team at West Lake Dental received the Best of Loveland award for the second time.
Dr. Maples is truly passionate about dentistry, and he has a special interest in transforming the lives of his patients through excellent cosmetic care. If you'd like to speak with Dr. Maples about what he can do for your smile, request an appointment at our Loveland, CO, office online or call today.
I had a broken tooth and Dr. Andy fit me into the schedule that day. Dr. Andy does excellent work and is very compassionate about his patients. - Victoria Riordan, 2025 Google Review

We Can Address a Wide Range of Issues With Cosmetic Dentistry
Whether you’re dealing with minor imperfections or more noticeable concerns, our modern practice in Loveland offers customized solutions to help you love your smile again. Dr. Maples provides a full spectrum of cosmetic treatments designed to enhance aesthetics while preserving natural function.
- Damaged Teeth
- Discolored Teeth
- Gapped Teeth
- Misaligned Teeth
My first visit to West Lake Dental. The experience was great! The staff was very professional and spent a lot of time with me to ensure that all of my questions were answered and that I received the best care. - Michael, 5-Star Review
Not Ready for Cosmetic Treatment? We’ll Help You Get There
Some patients need to address foundational dental concerns before beginning cosmetic care, and we’re here to guide you every step of the way. Our Loveland team provides comprehensive restorative and preventive services to get your smile healthy, strong, and ready for transformation:
- Periodontal care to resolve gum disease
- Root canal therapy to treat infected teeth
- Tooth extractions when preservation isn’t possible
- Crowns and bridges to restore structure and function
- Routine exams and cleanings to support long-term oral health
We handle it all in-house, so you can move forward with confidence with no referrals or delays.
Restore Missing Teeth With Complete In-House Implant Care
If tooth loss is affecting your appearance or confidence, Dr. Maples can help you rebuild your smile with advanced implant dentistry. He handles every step of the process, including implant placement, bone grafting, and final restorations, right here in our Loveland office. Whether you need a single implant crown or a full-arch denture, we’ll guide you through a predictable, comfortable process that restores both function and aesthetics. You won’t need to visit a specialist. Just call our dentist, who’s trusted by patients and peers alike.
Frequently Asked Questions About Cosmetic Dentistry
How long will my results last?
With proper care, cosmetic treatments like veneers and whitening can last many years. We’ll give you tips to maintain your results at home.
Can I combine procedures?
Yes! Many patients choose to combine treatments as part of a smile makeover. We’ll customize a plan based on your goals and timeline.
Will cosmetic treatment fix bite or jaw issues?
Not always. If you’re experiencing discomfort or TMJ symptoms, we may recommend a combination of restorative and therapeutic care alongside cosmetic enhancements.









